시간·비용 등이 크게 줄어들어, 진폐증 판정 진단보조에 활용 기대
[Industry News 전시현 기자] 인공지능(AI)으로 직업성 폐 질환인 진폐증을 95% 정확하게 진단할 수 있다는 연구결과가 나왔다.
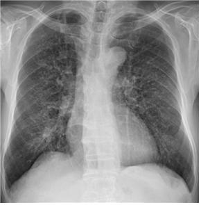
![폐증 환자의 X-ray 검사 사진. 폐에 분진이 침착하여 폐 세포에 염증과 섬유화가 일어난 상태로, 갈비뼈 사이로 하얗게 점처럼 보이는 진폐성 음영을 관찰할 수 있다. [사진=서울성모병원]](https://cdn.industrynews.co.kr/news/photo/201801/21020_11224_150.png)
가톨릭대학교 서울성모병원 명준표 직업환경의학과 교수 연구팀은 2011년 5월부터 6년간 기존 진폐증 판정자 1,200명의 영상을 활용한 딥러닝 연구결과 약 95%의 진단 정확도를 확인했다고 밝혔다. 진폐증은 분진 노출로 폐 세포에 염증과 섬유화가 일어나는 질환이다.
연구팀은 단순흉부방사선 영상과 컴퓨터단층촬영(CT) 결과 모두 진폐가 확인된 영상을 실험 집단으로, 서울성모병원 검진센터에서 검진을 수행한 60세 이상 일반 수검자들을 대조 집단으로 설정해 연구를 진행했다.
또 근로복지공단 폐질환연구소에서 제작·보급한 한국진폐표준디지털영상(KoSDI)을 추가해 영상의 질적 일관성을 높였다. 연구팀은 외부 기술자문 등을 받아 획득한 영상에서 특징을 추출하고 진폐증 여부를 인공지능으로 판정하는 알고리즘을 개발해 95%까지 진단 정확도를 끌어올릴 수 있었다.
연구팀은 이번 연구가 근로복지공단에서 실시하는 산업재해보상의 진단 보조 기구로 활용될 수 있으리라 기대한다. 진폐는 직업 환경적으로 분진 노출이 잦은 사람들에게서 나타나기 쉽고 영상 판독을 통해 진단이 확정되지만, 매해 1만 명 이상의 환자가 심사를 신청하는 과정에서 기간이 오래 걸리는 것은 물론 정확도도 떨어져 분쟁이 발생하는 경우가 많았다.
AI 진단을 진폐 질환 판정의 보조적 수단으로 활용할 수 있다면 시간·비용 등이 크게 줄어들 수 있다. 연구팀 관계자에 따르면 “추가적 연구를 통해 석면피해구제 및 가습기살균제로 인한 폐손상 등의 다른 환경성 질환 영상 판정에도 AI를 이용할 수 있도록 하겠다”이라고 밝혔다.
